top of page
The Aortic Valve

Trace Aortic Insufficiency- ME LAX (TEE)
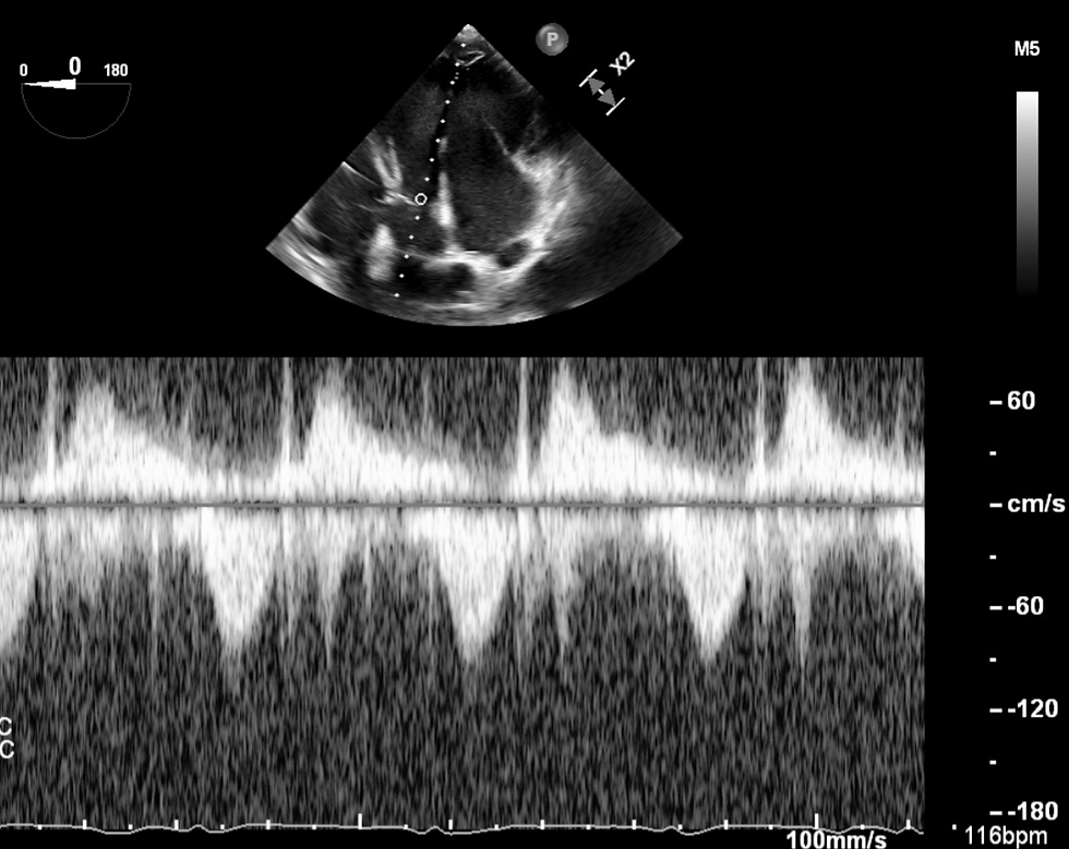
Pulse Wave and Continuous Wave Echo Doppler of Aortic Valve and LVOT- Deep Transgastric (TEE)


Aortic Valve Endocarditis- ME LAX (TEE)
Aortic Valve Endocarditis- ME Aortic Valve Short Axis (TEE)
Aortic Valve Prolapse Resulting in Severe Aortic Regurgitation- Highly Eccentrically Directed Jet- ME LAX and Deep Transgastric (TEE)
Bicuspid AV 3D (TEE)
Aortic Valve Endocarditis with Leaflet Perforation- ME LAX (TEE)

Severe AI and MR with Impella 5.5 in Place - ME 4Ch (TEE)
bottom of page
